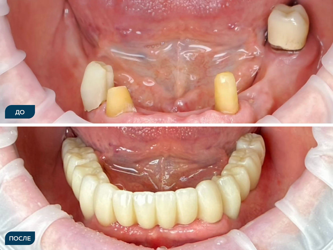
Сохранены отдельные зубы нижней челюсти (33, 43, 44, 37), в области 37— киста. Частичная адентия жевательных сегментов.

Лечение: Проведено атравматичное удаление зуба 37 с последующей имплантацией в позициях 34, 36, 45, 47. Фронтальный отдел восстановлен высокоэстетическим циркониевым мостом 33–44, на имплантатах установлены циркониевые коронки.
Результат: Восстановлены функция, анатомия и естественная эстетика зубного ряда.
Врач: стоматолог-имплантолог Нассиф Ян Окбаевич




















