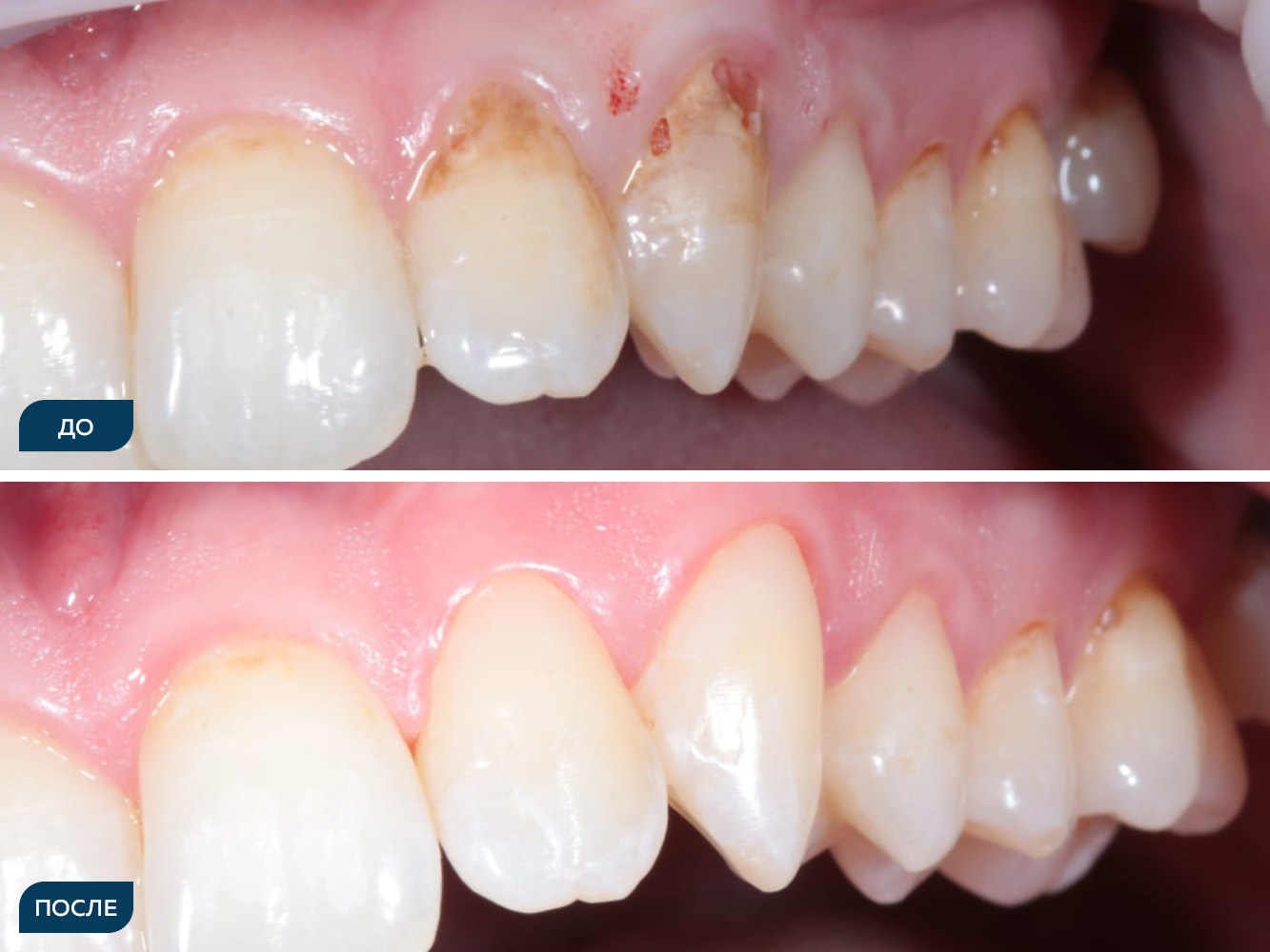
Клиновидный дефект

Пациент обратился с разрушением эмалевого слоя зубов 23, 22.
Было проведено восстановление дефекта зуба прямым методом с использованием композитных материалов.
Процедура длится от 30 до 40 мин.
Врач: стоматолог-терапевт Казанджян Лусине Бабкеновна.



















.jpg)


















