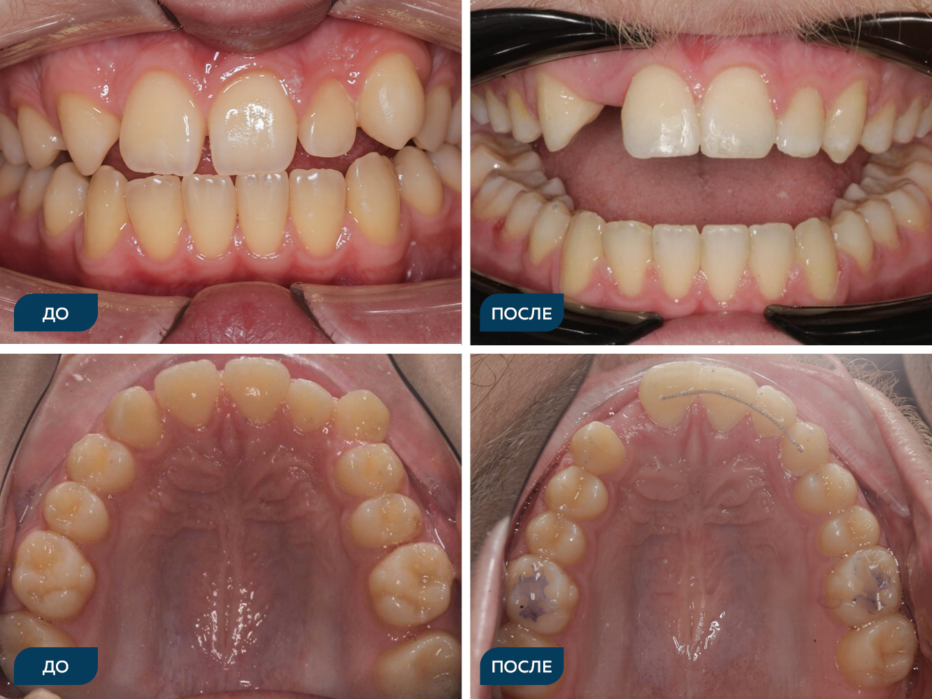
Первичная адентия зуба 12, дистальная окклюзия, вестибулярное положение 13, на нижней челюсти-скученность 1 степени по Болтону.

Результат: выравнивание, создание места под имплантацию 12, коррекция прикуса, нормализация контактов.
Врач: стоматолог-ортодонт Асланова Даяна Руслановна.




















