Асланова Даяна Руслановна
- Специальность:
- Стаж работы:
4 года
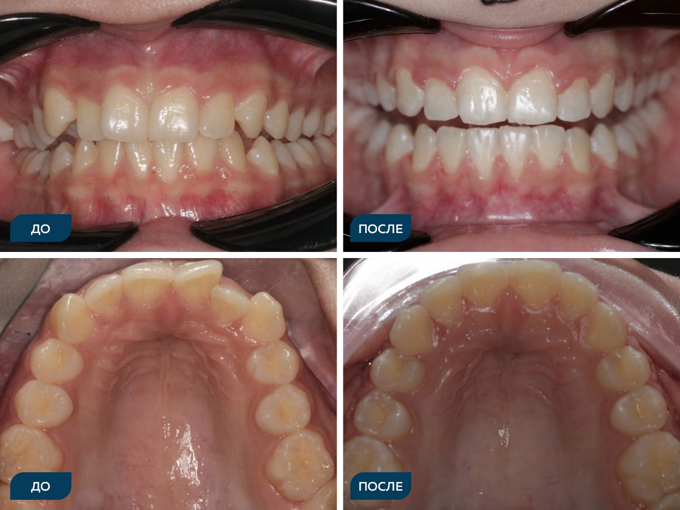
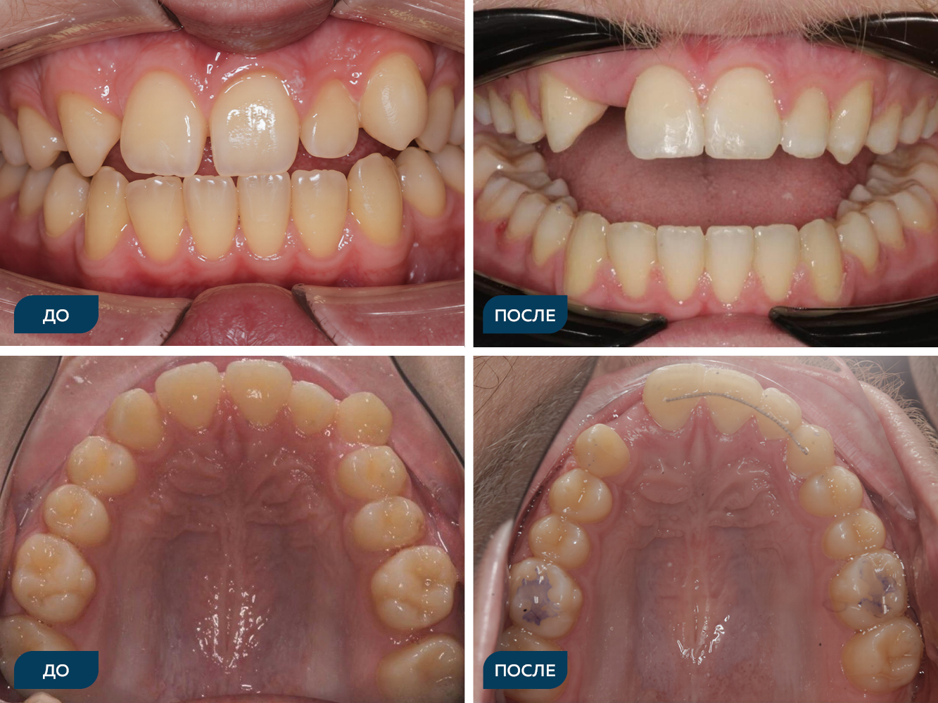
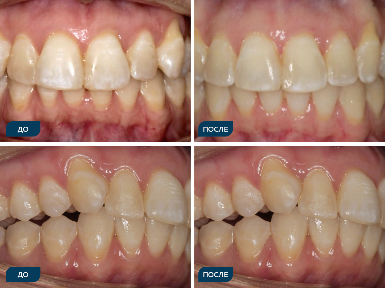
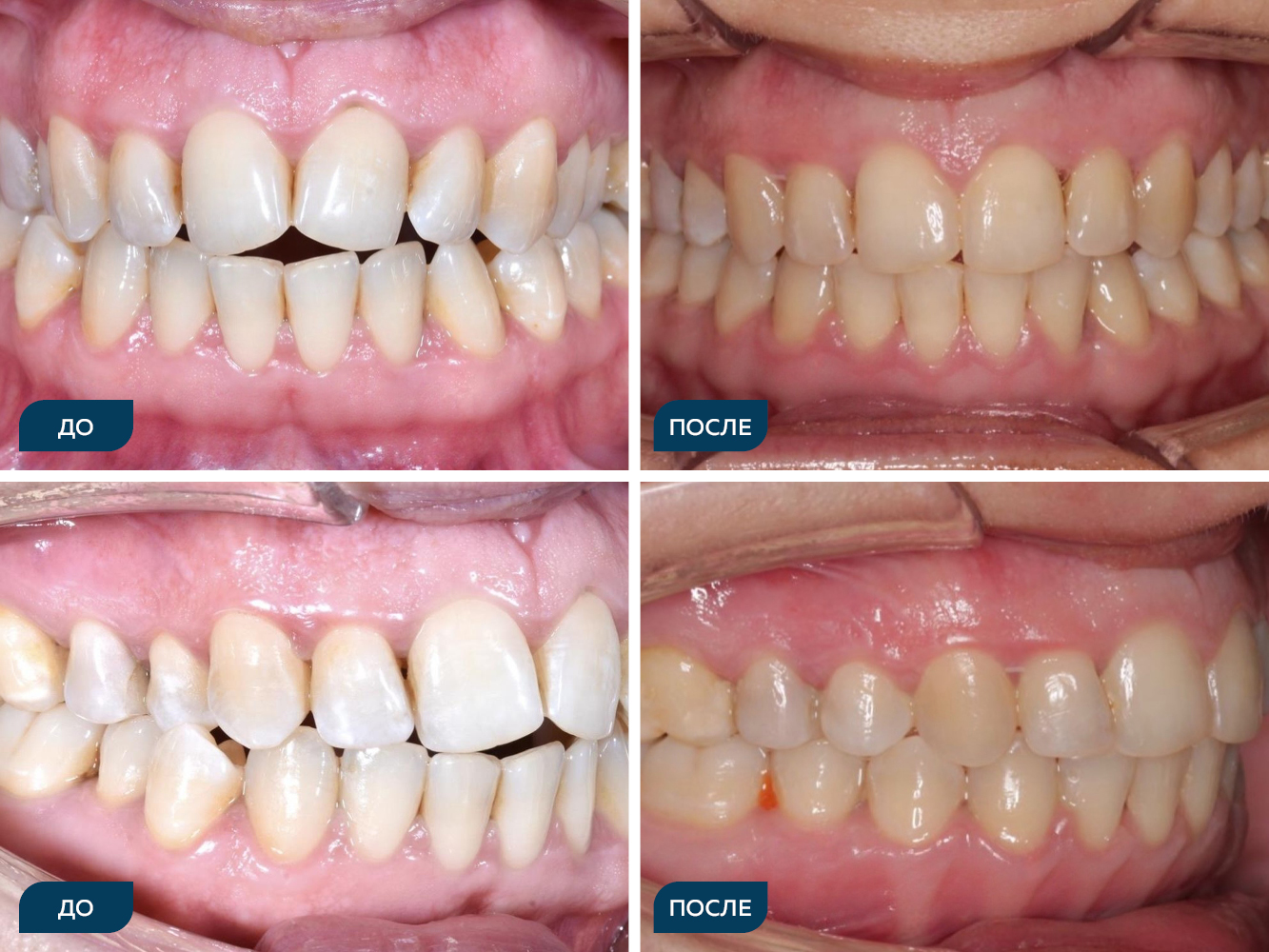
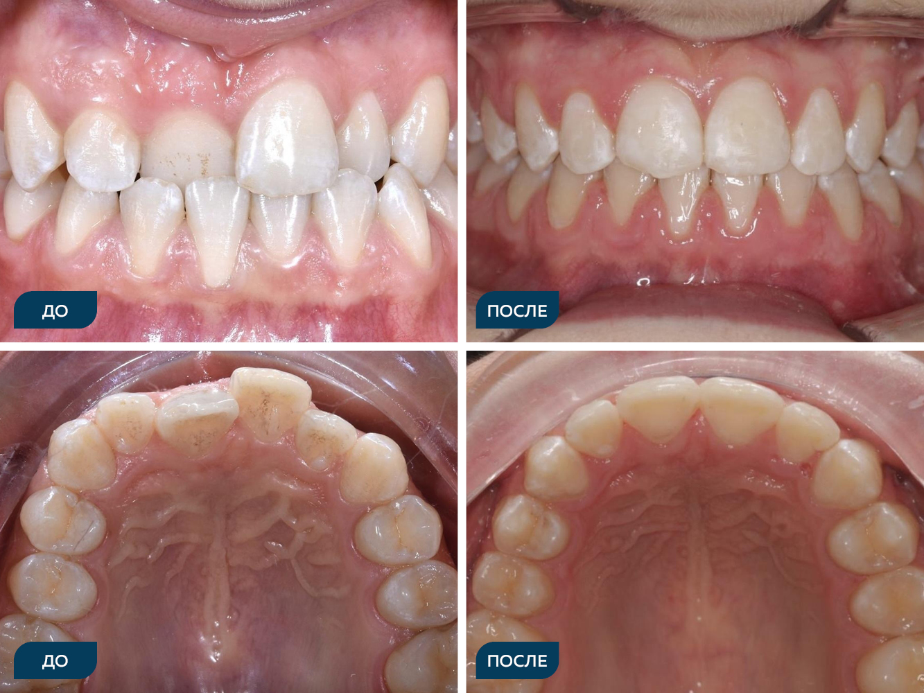
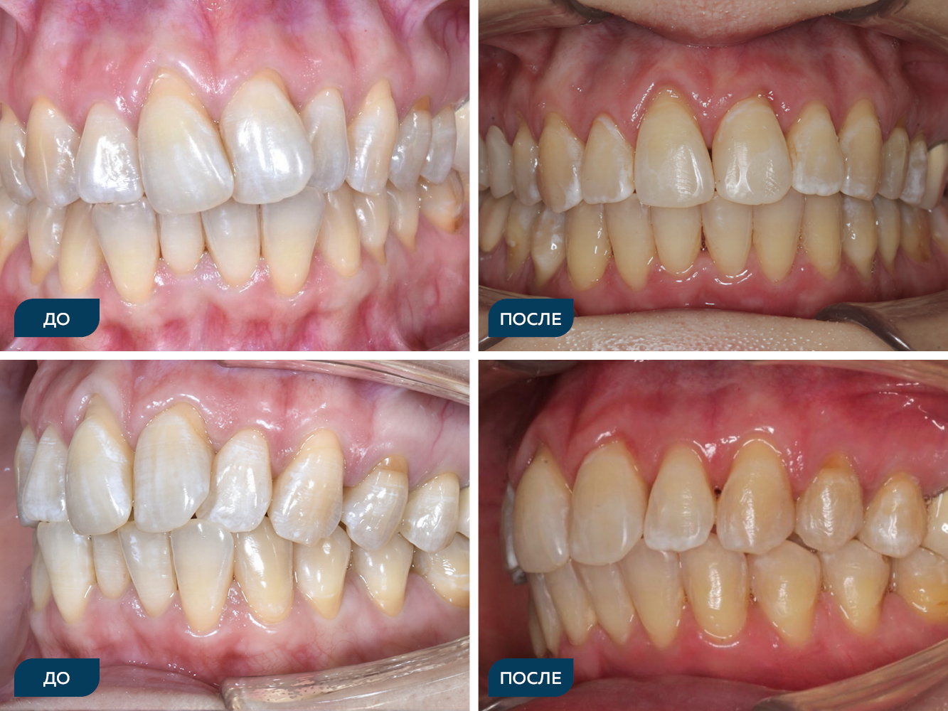
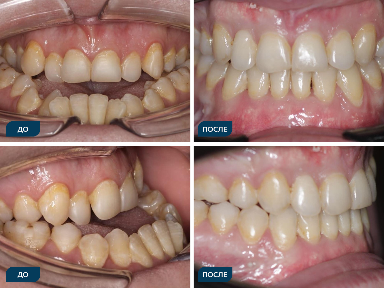
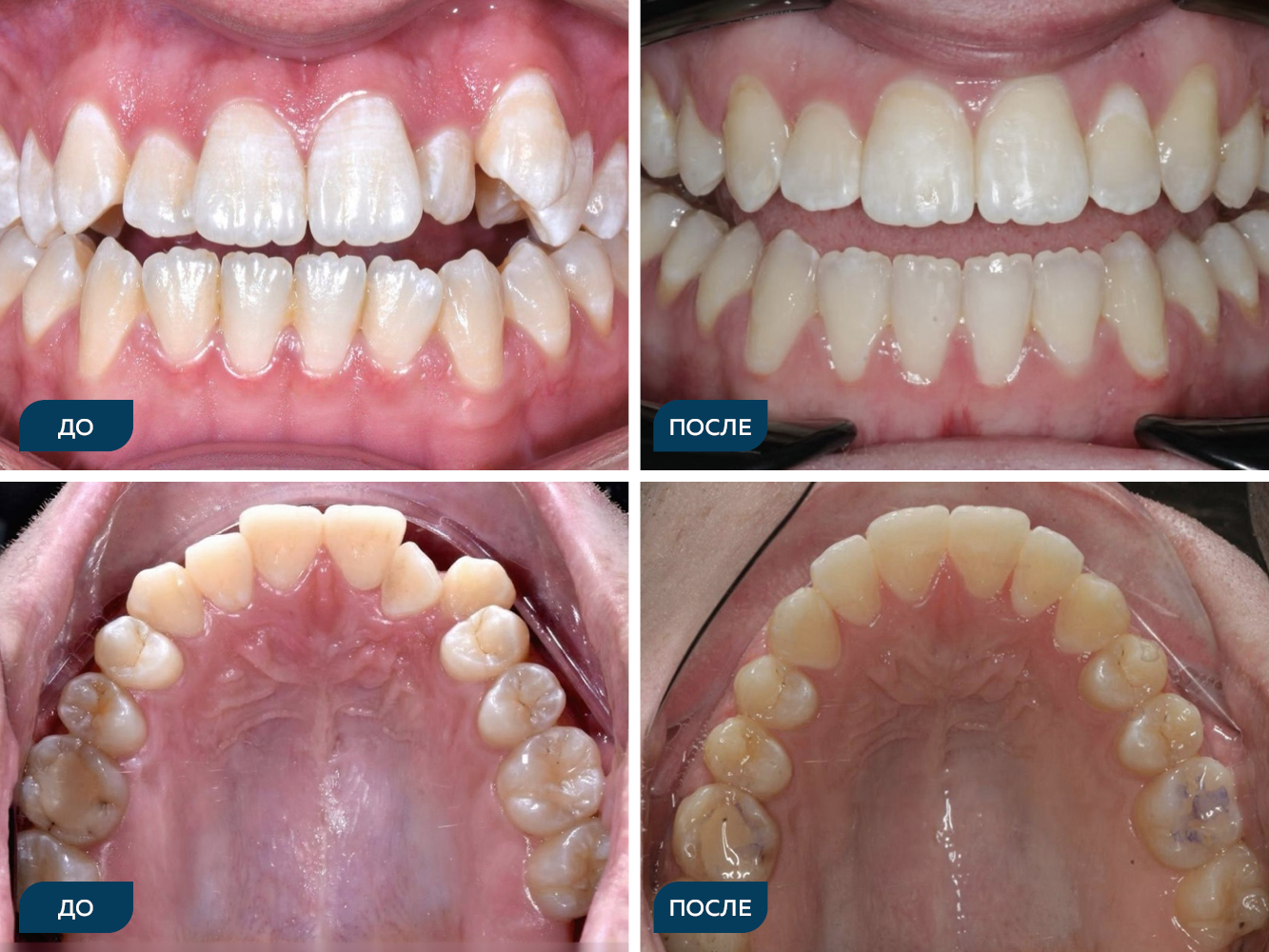
Наши работы
смотреть все работы
| Описание услуги | ВЫБРАТЬ УСЛУГУ |
|---|---|
Бесплатная консультация стоматолога, составление плана и определение стоимости лечения | Записаться |
Бесплатная консультация стоматолога, составление плана и определение стоимости лечения
Бесплатно
Записаться Специализация врача
- Неправильный прикус (открытый, глубокий, перекрестный, дистальный, мезиальный);
- Скученность или большие промежутки между зубами;
- Ортодонтическая подготовка к имплантации (создание места для будущего имплантата);
- Нарушения функции ВНЧС (височно-нижнечелюстного сустава);
- Брекет-системы: классические металлические, эстетические керамические, а также самолигирующие системы (Damon, Experience);
- Элайнеры: прозрачные съемные каппы для незаметного лечения;
- Микроимпланты (мини-винты): для сложных случаев, где нужно точное управление движением зубов.
Образование
- 2022, Первый Московский государственный медицинский университет им. И.М. Сеченова, специальность «Стоматология»;
- 2024, Российский университет медицины (РосУниМед) (бывший МГМСУ Евдокимова), специальность «Ортодонтия».
Участие в научных форумах, конференциях, докладах
- 2022, Съезд ортодонтов 22;
- 2022, «Дистальная окклюзия. Взгляд снаружи и изнутри»;
- 2023, Съезд ортодонтов 23;
- 2023, 13 конференция начинающих ортодонтов fest 2.0;
- 2023, EUROKAPPA ORTHODONTICS.NEXT.
Публикации в СМИ
- 2021, Медико-фармацевтический журнал «Пульс», «Фотодинамическая терапия с применением метиленового синего у детей с церебральным параличом», автор;
- 2023, Журнал «Ортодонтия», «Особенности хирургического лечения детей с фолликулярными кистами» (участник).
Дополнительная информация
- Прием пациентов с 16 лет.
Записаться на прием
Нажимая на кнопку, вы даете согласие на обработку своих персональных данных



























