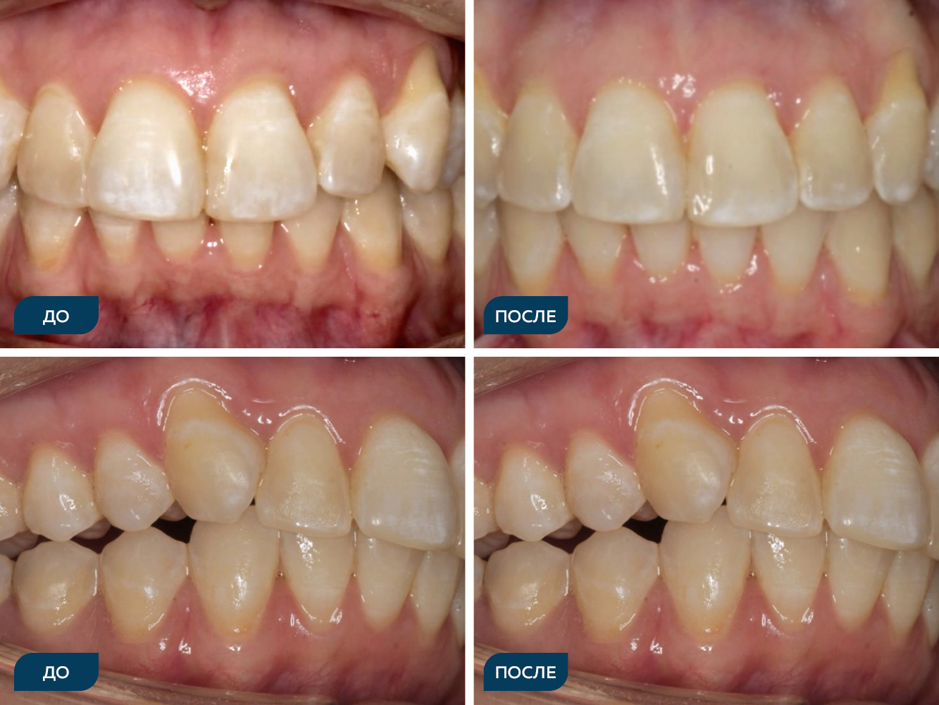
Окклюзия, скученность зубов

Дистальная окклюзия, на верхней и нижней челюстях скученность 1 степени по Болтону, тортоаномалия 13, 23, суженные зубные ряды верхней и нижней челюстей.
Результат: выравнивание коррекция прикуса, расширение верхнего и нижнего зубных рядов.
Врач: стоматолог-ортодонт Асланова Даяна Руслановна.


























