Дезокклюзия, сужение зубных рядов.

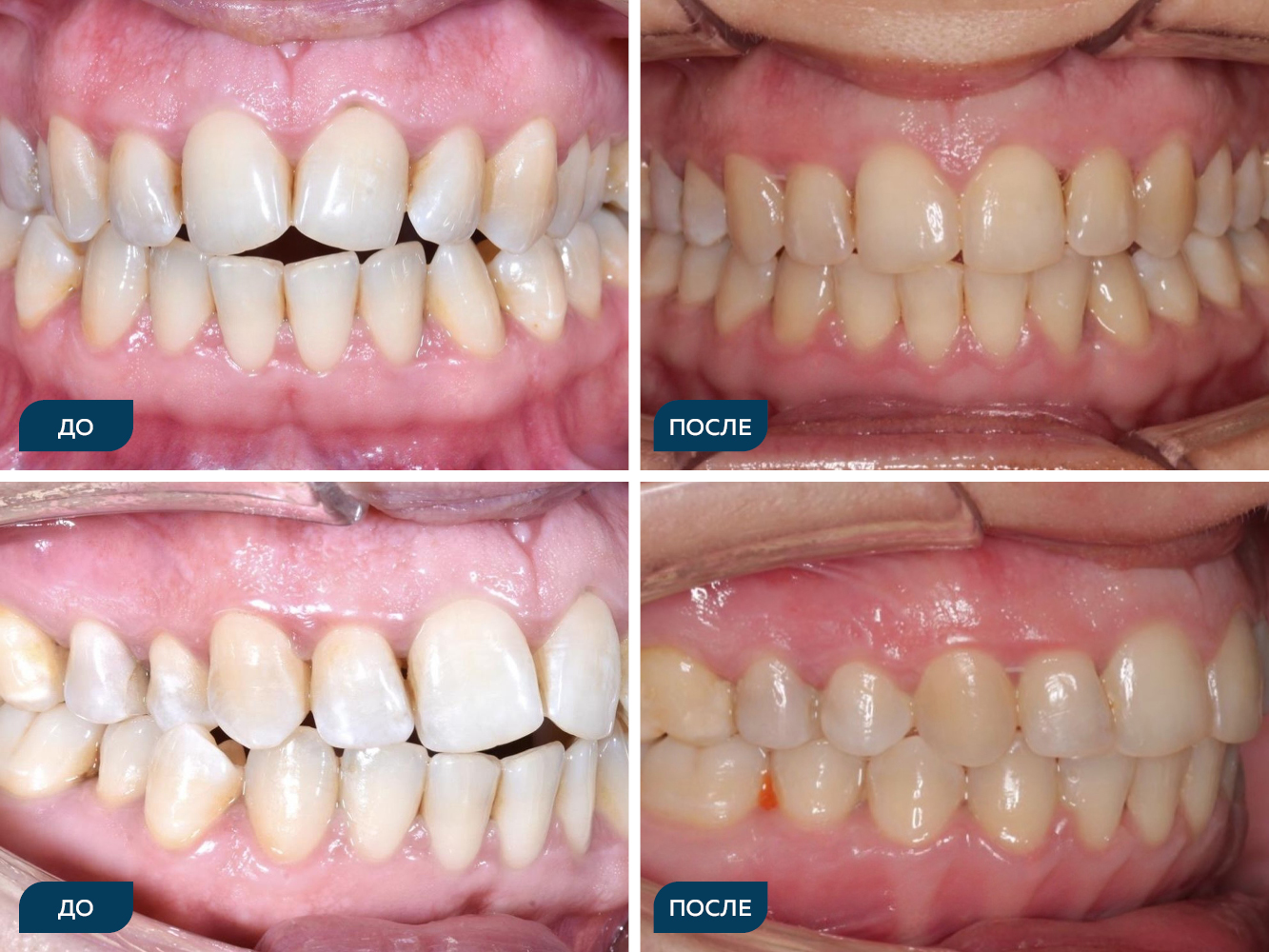
Вертикально резцовая дезокклюзия, перекрёстное соотношение 14, сужение верхнего зубного ряда и нижнего зубного ряда.
Результат: коррекция перекрытия во фронтальном отделе, перекрёстного соотношений, расширение верхнего и нижнего зубных рядов, нормализация контактов.
Врач: стоматолог-ортодонт Асланова Даяна Руслановна.


























