Аномалии положения зубов.

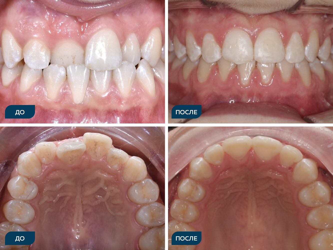
Перекрестное соотношение во фронтальном отделе, аномалии положения зубов.
Результат: выравнивание, коррекция перекрестного соотношения, нормализация контактов.
Врач: стоматолог-ортодонт Асланова Даяна Руслановна.








Перекрестное соотношение во фронтальном отделе, аномалии положения зубов.
Результат: выравнивание, коррекция перекрестного соотношения, нормализация контактов.
Врач: стоматолог-ортодонт Асланова Даяна Руслановна.

Мы используем файлы Cookies для того, чтобы предоставить Вам больше возможностей при использовании сайта. Файлы Cookies представляют собой небольшие фрагменты данных, которые временно сохраняются на вашем компьютере или мобильном устройстве, и обеспечивают более эффективную работу сайта. Файлы Cookies не содержат никакой личной информации о Вас и не могут использоваться для идентификации отдельного пользователя. Продолжая пользоваться сайтом, вы даете согласие на использование ваших Cookies-файлов
