Аномалии положения зубов, суженные зубные ряды, скученность.

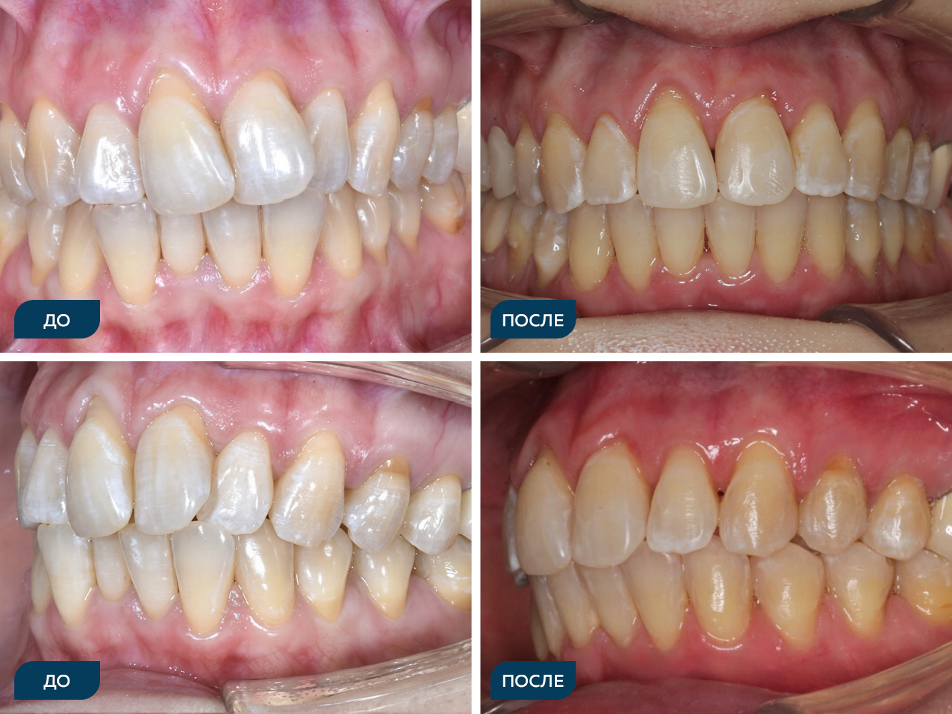
Аномалии положения зубов, суженные верхний и нижний зубные ряды, скученность по Болтону 2 степени, перекрёстное соотношение зуба 2.2.
Результат: выравнивание, коррекция перекрёстного соотношения, расширение верхнего и нижнего зубных рядов, нормализация контактов.
Врач: стоматолог-ортодонт Асланова Даяна Руслановна.


























