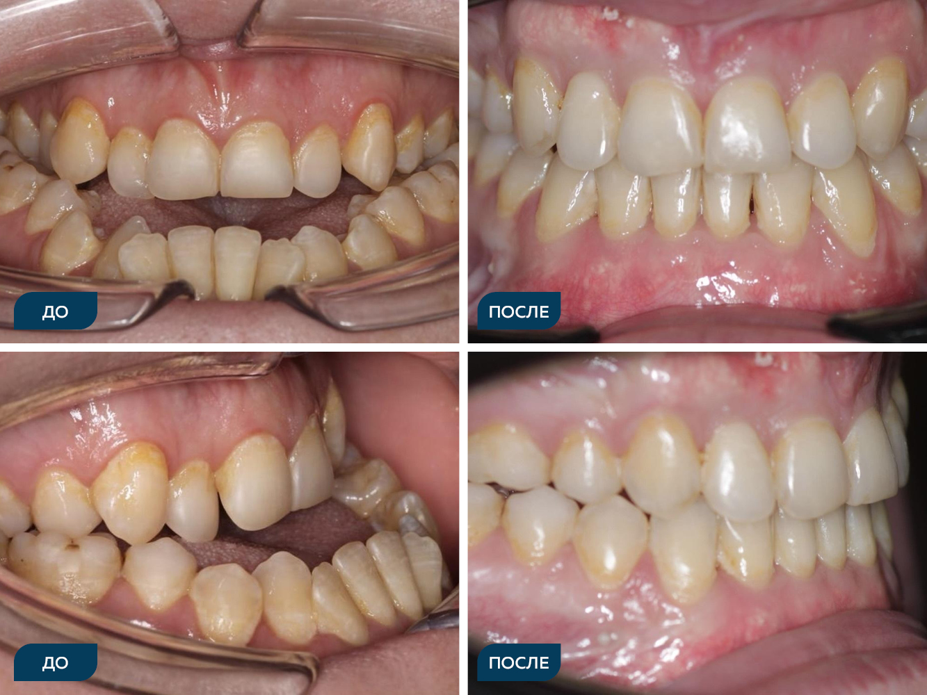
Дезокклюзия, аномалии положения зубов, скученность.

3 скелетный класс, вертикальная резцовая дезокклюзия, аномалии положения зубов, суженные зубные ряды, скученность по Болтону 3 степени.
Результат: подготовка к ортогнатической операции: выравнивание, нормализация положения зубов.
После операции: детализированное выравнивание, нормализация контактов.
Врач: стоматолог-ортодонт Асланова Даяна Руслановна.


























