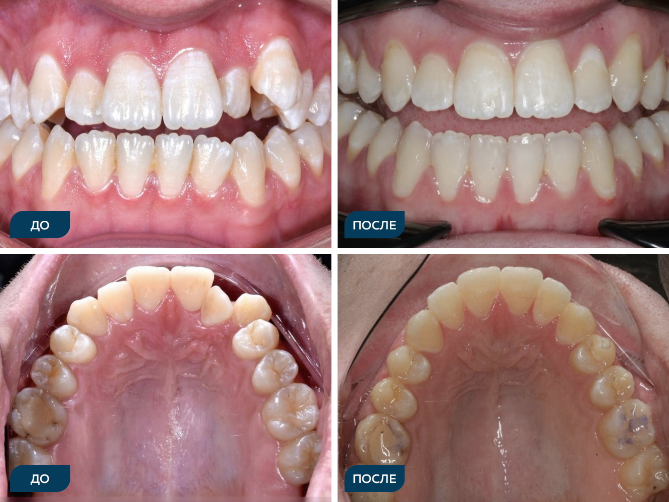
Скученность, вертикальная резцовая дезокклюзия.

3 скелетный класс, вертикальная резцовая дезокклюзия, вестибулярное положение 23, скученность 2 степени по Болтону.
Результат: выравнивание, коррекция прикуса, нормализация контактов во фронтальном и боковых участках.
Врач: стоматолог-ортодонт Асланова Даяна Руслановна.


























