Нассиф Ян Окбаевич
- Должность:
Заведующий отделением стоматологии клиники м. Бабушкинская
- Категория:
Врач высшей категории
- Стаж работы:
11 лет
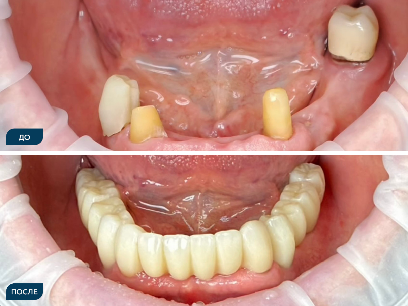
Наши работы
смотреть все работы
| Описание услуги | СТОИМОСТЬ | ВЫБРАТЬ УСЛУГУ |
|---|---|---|
Бесплатная консультация стоматолога, составление плана и определение стоимости лечения | Бесплатно | Записаться |
Консультация стоматолога-хирурга | 3 200 руб. | Записаться |
Повторный осмотр стоматолога без манипуляций | Бесплатно | Записаться |
Специализация врача
Ортопедическаястоматология
Протезирование:
- Керамическими коронками на основе диоксида циркония;
- Безметалловыми коронками и винирами;
- Керамическими вкладками (микропротезирование);
- Металлокерамическими и культивыми вкладками;
- Протезирование на имплантатах и при польном отсуствия зубов (All on 4 и Аll on 6);
- Протезирование съемными конструкциями.
Хирургическаястоматология
- Простое удаление зубов;
- Сложное удаление ретинированных и диспонированных зубов;
- Удаление зубов мудрости (в том числе горизонтальных и импактных;
- Атравматичное удаление с сохранением костной ткани;
- Удаление разрушенных зубов;
- Иссечение капюшона при перикороните;
- Апикоэктомия: резекция корня зуба;
- Пластика уздечки губы и языка;
- Гингивэктомия / гингивопластика;
- Удаление кист и гранулём;
- Лечение воспалительных процессов (абсцесс, периостит);
- Дренирование.
Имплантация и остеопластическая хирургия
- Костная пластика (аугментация);
- Синус-лифтинг (открытый и закрытый);
- Подготовка к имплантации;
- Установка дентальных имплантатов;
- Одномоментная имплантация;
- Имплантация при дефиците кости;
- Навигационная (шаблонная) имплантация.
Образование
- 2009, Дамаск-Сирия, Дамаск университет, специальность «Врач стоматолог»;
- 2016, Москва, РУДН, специальность «Стоматология общей практики»;
- 2015, Москва, МГМСУ, челюстно-лицевая хирургия, специальность «Врач челюстно-лицевой хирург».
Профессиональная переподготовка
- 2017, Москва, АНО Академия, стоматология ортопедия, специальность «Врач стоматолог-ортопед»;
- 2019, Рязань, Центр специализированного образования (Проф-ресурс), специальность «Врач стоматолог хирург».
Повышение квалификации
- 2017, Москва, курс по ортопедической стоматологии (литые культевые вкладки);
- 2018, Москва, курс по ортопедической стоматологии (клинические аспекты при изготовлении безметалловых конструкции);
- 2020, Рязань, Центр специализированного образования (Проф-ресурс), повышение квалификации по стоматологии общей практики;
- 2021, Рязань, Центр специализированного образования (Проф-ресурс), повышение квалификации по стоматологии-ортопедии;
- 2021, Курс по имплантологии Астра тек;
- 2024, Рязань, Центр специализированного образования (Проф-ресурс), повышение квалификации по стоматологии-хирургии.
Дополнительная информация
- Прием пациентов с 18 лет.
Записаться на прием
Нажимая на кнопку, вы даете согласие на обработку своих персональных данных





















