Истории пациентов - Стоматология
- Все Истории
- Истории пациентов - Косметология
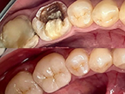
- Истории пациентов - Стоматология
- Истории пациентов - Пластическая хирургия
- Истории пациентов - Флебология
- Истории пациентов - Травматология
- Истории пациентов - Неврология
- Истории пациентов - Офтальмология
- Истории пациентов - Трансфузиология
- Истории пациентов - Массаж




























.jpg)




















